
报名咨询:15251989621
学牙齿美白技术,常州新启点牙齿美白培训机构常年招生!
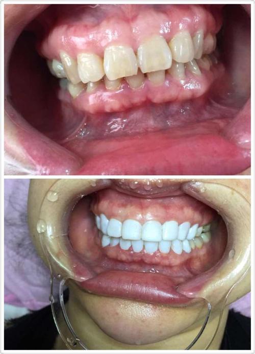
新启点纳米树脂贴面美牙修复技术:
1、美化牙齿:全面解决牙齿缺陷问题,雅黑、牙黄、烟渍、牙缝大、四环素牙、敏感牙、矫正牙齿形象,多个美白色号供你选择,象牙白、亮白。
2、巩固牙齿:不损伤原牙的基础上为原牙增加保护层,舒适不脱落,有效饱和颌牙舌侧的形态,几乎无适应期,和真牙无异,不易脱落!
3、完美塑形:对于先天牙缝大、孔隙大、缺损,修复塑形,一次成型,维持5-8年,所使用材料具有良好的透明性、遮光性、透光性、美学效果绝佳,不会出现烤瓷牙常见的黑线问题,高温耐磨不着色.
4、安全不伤牙:不磨牙,无需麻醉,美牙过程无痛苦,不会刺激牙龈,能最大限度保护牙体组织,对人体无任何毒副作用.
5、效果持久:不同于口腔科做牙,费时费力价格昂贵,保持时间短,还磨损原牙。纳米釉质牙齿再成型技术,做完即可刷牙、喝水吃饭,对刺激口味无不良反应!
精品小班教学!一对一实操!注重实际操作,随到随学,学会为止,想学真本领的快快报名吧!老师一站式跟踪教学!手把手指导实操!包教包会!
报名咨询:15251989621
新启点美牙课程大纲:
1:熟练掌握牙齿美白机器设备及常用工具使用方法及技巧
2:牙齿构造及排列基础知识
3:纳米釉质美牙优势及特点
4:常见病态牙齿的种类及处理方法
5:各类牙齿的美牙操作方式及注意要点
6:独家纳米釉质美牙技术原理、操作方法、注意事项等
7:独家皓齿牙齿美白技术
8:超声波洗牙
9:独家牙齿遮色技术(重度色牙齿的贴面技法)
10:独家纳米贴面抛光技术(防止后期变色)
11:纳米贴面变色处理及养护技巧方法(让纳米贴面后期达到更好的客户满意度)
12:独家纳米微研磨技术(针对氟斑牙、重度牙齿色斑处理)
13:常规牙周健康护理技术(牙龈炎、牙周不健康等护理)
14: 9D炫齿浮雕德国美牙技术
15: 极速30分钟炫齿美牙
16: 流行闪耀牙齿贴钻技术
17: 牙齿水光SPAR美白技术
18: 真人实操演示及指导
19:学员模具练习
20:学员真人实操练习
本校承诺:一次性收费,后期免费复学进修新技术,学习期间没有任何强制性隐形消费!
报名咨询:15251989621